Záchovná stomatológia
Zdravý chrup je výsadou a krédom zdravého životného štýlu. Počas života sa napriek tomu väčšina z nás stretáva so stratou zubného tkaniva spôsobenou zubným kazom, opakovanými rekonštrukciami výplní, úrazmi, či dokonca celkovou stratou zubov zapríčinenou parodontitídou. Našou najdôležitejšou úlohou je obnoviť pôvodný vzhľad a funkčnosť zubov čo najprirodzenejšie a čo najmenej invázívnym spôsobom. Pri každom pacientovi sa snažíme využiť koferdam, aby bolo ošetrenie čo najviac komfortné.
1. Estetické rekonštrukcie:
- Fotokompozitné výplne.
- Výplne zhotovené sklenenými vláknami alebo sklenenými čapmi pri endodoticky ošetrených zuboch.
- Fazety a nepriame výplne.
2. Protetika:
Ak daný efekt už nemožno ošetriť záchovným spôsobom, často pristupujeme k protetickým rekonštrukciám, kde sa už zub musí obrúsiť o približne 1-2 mm z každej strany. Ošetrenie je samozrejme BEZBOLESTNÉ. Možnosti protetickej liečby:
- FIXNÁ PROTETIKA (náhrada zubov “na pevno”)
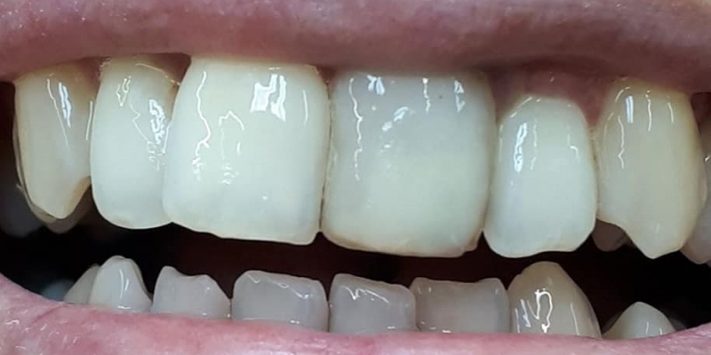
- SÓLO KORUNKY Kovokeramická korunka Bezkovová keramika Zirkón porcelán
- MOSTÍKY - ak dôjde k strate väčšieho počtu zubov
- SNÍMATEĽNÁ PROTETIKA (“vyberacia” náhrada)
- ČSN – čiastočná snímateľná náhrada
- TN- totálna náhrada
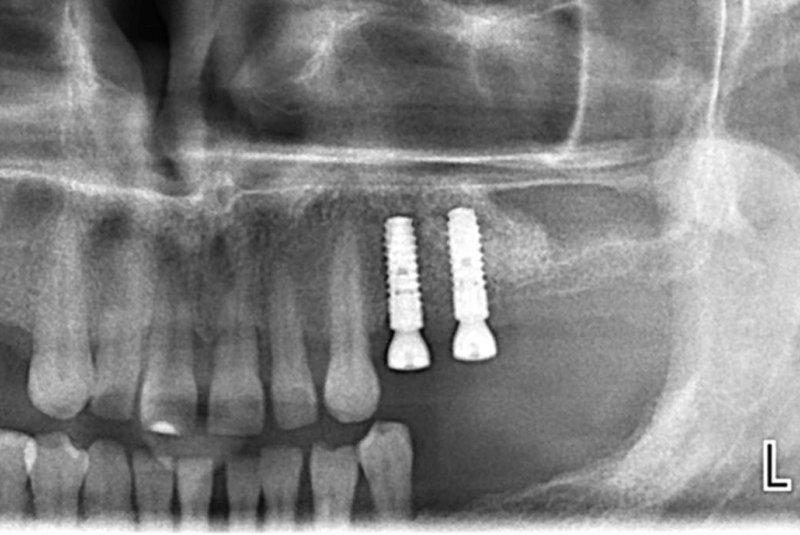
- IMPLANTÁT - je náhrada strateného zuba a používa sa pri strate jedného alebo viacerých zubov, prípadne pri celkovej rekonštrukcii bezzubej čeľuste alebo sánky. Ide o progresívnu metódu, pri ktorej sa zavádza titánová “skrutka” do kosti čeľuste alebo sánky. Implantát tak zastupuje funkciu pôvodného koreňa zuba. V ďalšom kroku sa zhotoví protetická náhrada (korunka, mostík, snímateľná náhrada). Podmienkou pre zavedenie dentálneho implantátu je dostatočná kvalita kosti, ústna dutina bez známok zápalu, či bez zubného kazu a samozrejme dokonalá ústna hygiena.
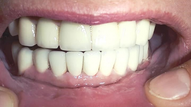
Totálna implantologická náhrada zubov v dolnej čeľusti
Sólo korunky, nahradené implantátmi















